大分岡病院
TEL.097-522-3131(代)
TEL.097-503-5033(診療予約)

大分岡病院

顎変形症

顎変形症とは

顎変形症(がくへんけいしょう)は、上あごと下あごのバランスや左右の対称性が損なわれ、かみ合わせや顔の輪郭に影響を及ぼす状態をいいます。

見た目の変化だけでなく、食事や発音のしにくさを感じることもあります。

口腔顎顔面センターの取り組み(顎変形症)

当院では、歯科口腔外科、形成外科、矯正歯科が共に治療にあたります。

顎変形症の入院期間は5日~7日となっており、早期退院に取り組んでいます。
(プレート除去まで希望される場合は、再度2泊3日の入院が必要となります。 )

顎変形症の症状

  • 下あごが突き出した下顎前突症
  • 上あごが下あごより前に出ている上顎前突症
  • 噛みづらさを感じる咬合不全
  • 笑うと上の歯ぐきが見えるガミースマイル  など
代表的な顎変形症・顔のゆがみ
下顎前突症

下顎前突症

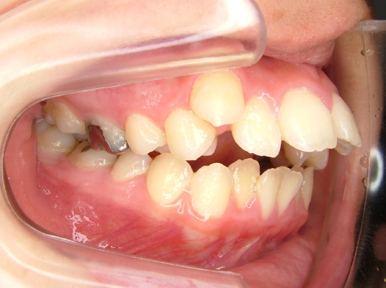
上顎前突症

上顎前突症

治療方法

顎変形症の治療は、矯正治療と外科手術を組み合わせることが一般的です。まず、顔、顎、歯のレントゲン撮影やCTなどによる検査を通じ、治療方針を決定するために必要な情報を集めて解析します。

歯の矯正治療だけでは解決できない場合は、顎の前後、左右、上下のズレなどを正しい位置まで移動させる外科的手術を行います。(※下あごの成長が終わった15歳頃から手術可能)

手術は、すべて口の中で行うため、皮膚に傷あとなどは残りません。全身麻酔で行なうため、手術中に痛みを感じることもありません。全身麻酔については、専門の麻酔科医が術前術後の管理を徹底しています。

治療の流れ

検査

歯と顎の発育状態や形態の検査を行います。

検査が終了したのち、検査結果を見せながら噛み合わせ顔貌の改善を考慮した治療計画について説明します。

矯正治療

治療計画に基づいて、手術時に歯が咬み合うように、歯を移動させます。その際、一時的に噛み合わせに不具合が生じますが、手術後は正常に噛めるようになります。

外科手術

上あごや下あごの骨を切り、骨を前後・左右へ移動や回転させます。

最適なポジションで、小さなネジやプレートを使って、骨をしっかりと固定します。

矯正治療とメンテナンス

退院後、噛み合わせの最終調整とアフターケアを行ないます。

治療完了までの期間は、数ヶ月おきに定期検診を実施します。

実績

2021年 2022年 2023年 2024年 2025年 合計
顎変形症 92件 107件 140件 111件 121件 571件

保険適用について

顎変形症の治療は、美容目的ではなく機能の改善を目的とするため、一定の条件を満たせば健康保険が適用されます。

治療を考えている方は、事前に医療機関に相談し、適用条件を確認することが大切です。

担当医より

松本 有史(まつもと ゆうし)
マキシロフェイシャルユニット部長
資格
日本口腔外科学会認定 口腔外科専門医・指導医
日本顎顔面インプラント学会認定 指導医
AOCMF JAPAN Delegate
ICD制度協議会認定 Infection Control Doctor

顎変形症は、病気ではなく個性とも言えます。ただ、噛み合わせに問題があったり、整容的に改善したいと考えられている患者さんに対しては、外科矯正により治療することができます。

顎変形症は、口腔外科と形成外科、そして矯正歯科の専門医が治療します。歯科矯正だけで済む場合と、手術を必要とする場合があり、治療プランは検査をしたのちに確定します。

治療プランによって大掛かりな手術となる場合は、同院の形成外科と協力をし、共に手術・治療にあたります。

じっくり説明を聞いて、納得されてから治療を受けることができます。噛めない、笑えない、息が漏れるなど、悩みを抱える患者さんの「どうにかならないかな…」に応える治療を目指します。

まずはかかりつけ医や矯正歯科にてご相談下さい。

よくある質問

Q. 顎変形症の治療で保険はきくの?

A.
「顎変形症」と診断された場合、矯正治療や手術・入院費用に健康保険が適用されます。費用は治療法や使用材料、入院期間によって変動します。
保険が適用されるには以下の順番で治療を受ける必要があります。
  • 歯の術前矯正を受ける
  • 顎の手術を受ける
  • 歯の術後矯正を受ける
※顎変形症で保険治療を受けられるのは、手術の必要性が認められた場合のみとなります
手術・入院費用(自己負担分):5万円~30万円
高額療養費制度を使用した場合の費用です
年収によって費用は変わります
術前検査やプレート除去手術、その後の通院費用などは含みません

Q. 入院は必要?入院期間はどれくらい?

A.
顎変形症の手術では、1回目の入院手術に加えて、骨を固定するためにつけたプレートを除去する場合は再度入院が必要になります。
1回目の入院では、手術の前日に入院し、基本的に術後7日で退院となります。
基本的にプレートは除去しなくてもよいですが、除去を希望される場合は2泊3日で退院となります。

Q. 手術後、食事は何日目からとれますか?

A.
翌日から食事を摂ることができます。顎変形症の外科手術を行った患者さんには、豆腐や卵などを使った、刻まずに摂取できるメニューを提供しています。
術前、術後も一食目から管理栄養士が介入し、個別対応も行っています。

Q. 手術後、普通の生活に戻るまでどれくらいかかる?

A.
日常生活への復帰は1ヶ月程で可能ですが、完全に回復し、食事や運動を気にせず行えるようになるには3~6ヶ月かかることが多いです。
顎の骨や筋肉が安定するには1年程必要とされます。

Q. 顎変形症の手術後のダウンタイムはどれくらい続く?

A.
顎変形症の手術後は、顔の腫れや内出血、口の開けづらさ(開口障害)、痺れ、アザ(内出血が色図いたもの)などが現れます。
ダウンタイムとしては、術後2~3日程が腫れのピークで、術後2週間が過ぎるころには落ち着いてくることが多いです。
腫れが全て引いて完全な状態になるまでは数か月程度かかります。
(症状や回復速度には個人差があるため、ダウンタイムの期間は異なります)

Q. 治療期間はどれくらいかかる?

A.
顎やかみ合わせの状態によりますが、矯正歯科治療を含めると2~3年程度かかります。